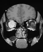
Right Orbital Mass
History
A patient presents with right-sided ocular pain and parietal headaches.
Findings
A large ovoid intraconal mass is shown in the right orbit. It does not extend intracranially or into the optic canal and it is transversed by the optic nerve. The appearances are most likely to be those of a glioma.



