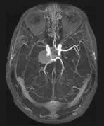
Right Internal Carotid Artery Aneurysm
History
A patient presents with longstanding headaches.
Findings
A contrast enhanced 3DTOF MRA with post processing reformatted images demonstrates a large right supraclinoid aneurysm. The entering and exiting vessels lie at the anterior aspect of the aneurysm.



