Popliteal Cyst
History
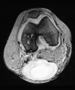
A patient presents with pain at the back of the knee.
Findings
There is a large posterior popliteal fluid collection. Marked tri-compartmental degenerative change in the medial joint compartment is also seen. These latter changes are in keeping with secondary avascular necrosis. Also present is a large joint effusion with marked synovitis and synovial hypertrophy.

