MRI Perfusion Imaging in Stroke
History
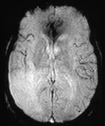
A patient presents with an extensive middle cerebral artery territory infarct.
Findings
The MRA demonstrates complete occlusion of the right internal carotid artery (ICA). The perfusion sequence shows prolonged mean transit time in the right frontal area, indicating a delay in the transit time of contrast media as a result of the right ICA stenosis.



