Facial Angioma
History
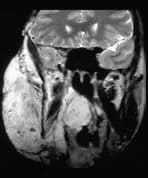
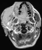
A patient presents with marked deformity of the right cheek.
Findings
There is an enormous facial angioma extending through the palate to almost obliterate the oro-pharyngeal airway. A small extension into the middle cranial fossa from the infra temporal fossa is shown. Signal change is present in the immediately overlying brain suggesting a breach in the dura. Bone is partly destroyed in and around the right orbit, especially the right frontal bone.


