Carotid Dissection and Recanalistation
History
A patient presents with pain the neck, weakness in left foot and clumsiness in the right hand.
Findings
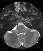
The left internal carotid artery (ICA) is of reduced calibre throughout its extra and intracranial course. In addition there is a marked focal narrowing with a flow gap at its origin. The axial fat saturated images through the petrous portion of the left ICA reveals high signal material surrounding the narrowed lumen. The appearances are suggestive of a partially recanalised dissection of the left ICA.


