Arteriovenous Malformation
History
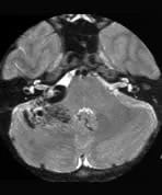
A patient presents with persistent headaches.
Findings
There is a large arteriovenous malformation in the right cerebello-pontine angle extending into the right fossa of Lushka. There is a large varix seen within the lesion.

