Our Services
Immediate, significant and durable improvement in tremor
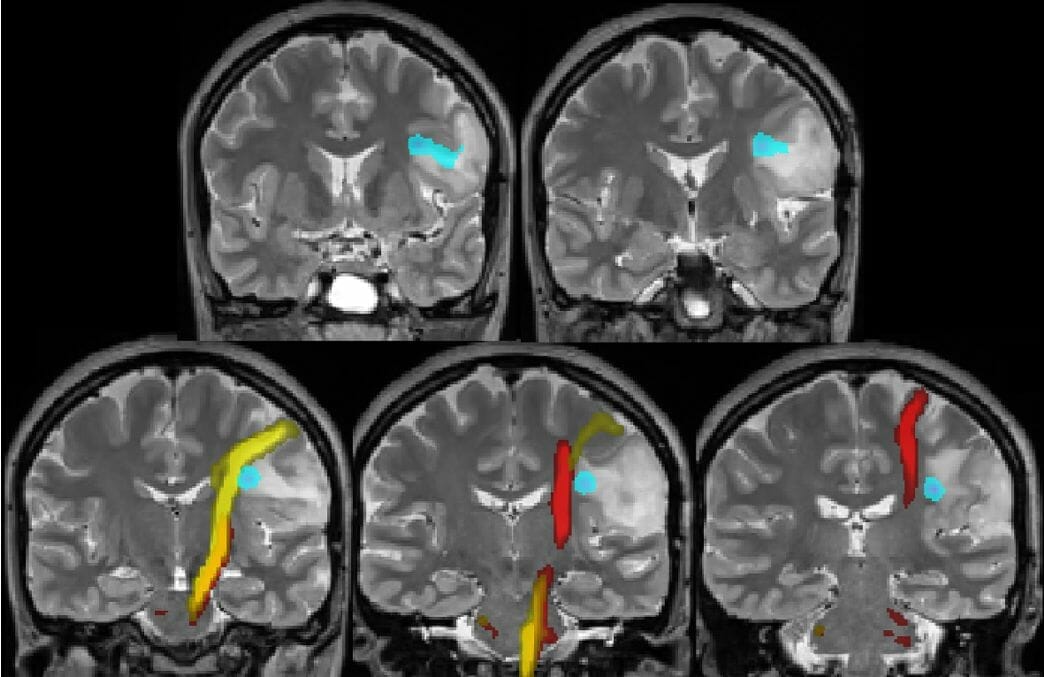
MR Guided Focused Ultrasound (MRgFUS) is an incisionless surgical treatment offering immediate, significant and durable improvement for Essential Tremor and Tremor-Dominant Parkinson’s Disease.
The Community is a space we have created just for you.
Whether you have a question about a future scan or would like to share your experience of living with a neurological condition, you can join the conversation here.
Working in partnership with UCLH Private Healthcare
The Queen Square Imaging Centre (operated by QS Enterprises Ltd.) works closely with UCLH private Healthcare to offer a one-stop service for patients with neurological concerns. UCLH Private Healthcare (which manages the outpatient services at 23 Queen Square and the Bloomsbury Private Ward at the National Hospital for Neurology and Neurosurgery) is part of University College London Hospitals NHS Foundation Trust, a hospital group which is internationally renowned for high quality patient care, education and research. Patients have swift access to back up support including intensive care or high dependency units if needed and private patients can take advantage of all the benefits of a private healthcare service including modern en suite private rooms, access to a preferred consultant and appointment times that suit.
For more information or to book an appointment please visit www.uclhprivatehealthcare.co.uk
IF YOU NEED A SCAN BUT DON'T YET HAVE A REFERRAL, OUR PRIVATE GP PARTNERS 'GOGODOC' CAN HELP.
Click on the link to arrange a fast and convenient phone consultation today.
Meet our imaging experts
Our highly experienced and qualified imaging experts will make you feel comfortable and relaxed during your visit. Meet the team here.
Make an enquiry
If you would like to find out more information about our CT services please contact us using the form below.
Contact
"*" indicates required fields






